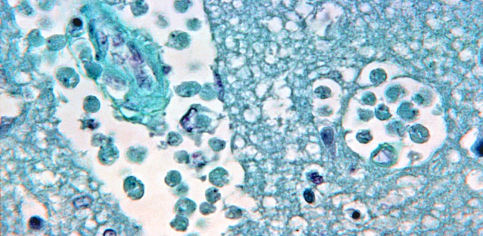
בית החולים בילינסון הודיע אתמול על מותו של צעיר בן 26 מזיהום מוחי שנגרם מהטפיל נגלריה פאולרי, או בשמו הפופולרי "אמבה אוכלת מוח". בית החולים נאבק על חיי הצעיר במשך ימים, אך המחלה הזו, שהיא נדירה מאוד, כמעט תמיד קטלנית עבור מי שאובחן בה. הצעיר שהה בחוף גיא בכנרת, וייתכן כי שם נדבק. משרד הבריאות מסר כי בוצע דיגום של המים בבריכות באזור, והתוצאות תקינות (כלומר רמות הכלור, החומציות ועכירות המים תקינות), ואין מניעה להמשיך לשחות במקום. אז האם צריך להיזהר מהאמבה אוכלת המוח? ואם כן, איך? גלובס עושה סדר.











